کیست دندان چیست؟
یکی از معضلاتی که ممکن است بی ضرر به نظر رسیده و اولین واکنش شما در برابر آن ها صبر کردن و به حال خود گذاشتن آن است، کیست دندان می باشد.کیست های دندان در صورت عدم رسیدگی می توانند مشکلات خطرناک تری را ایجاد کرده و باعث ایجاد درد شدید و ناراحتی شوند؛ به طور مثال اگر یک کیست پیشرفت کند می تواند به طور دائم به سلامت دندان شما آسیب وارد کرده و لبخند زیبای شما را تحت تاثیر قرار دهد. لزوما این طور نیست که کیست ها با گذر زمان عفونی شوند، بلکه می توانند برای ماه ها و یا حتی سال ها بدون هیچ نشانه ای باقی بمانند؛ اما در صورت عدم توجه کافی به آنها ،دیر یا زود پیشرفت کرده و بزرگتر می شود و به سویی سوق داده می شود که شما نیاز به درمان های پیچیده تر و هزینه بر تری داشته باشید.
کیست می تواند در بافت های مختلفی مثل دهان، صورت و یا فک شروع به ایجاد شدن بکند و در بیشتر اوقات وقتی آنها شروع به رشد می کنند غیر عفونی هستند. کیست توده ای است که ماهیت التهابی داشته و زمانی نشانه های خود را بروز می دهد که به اندازه زیادی بزرگ شده و با تحلیل استخوان اطراف دندان باعث تورم لثه یا آسیب به بافت های حیاتی دیگر ناحیه دهان شوند. کیست ها به آرامی رشد کرده و می توانند علت اصلی التهاب، درد فک و یا بیماری های بدتری باشند؛ پس دور از ذهن نیست که اگر کیست با پیشرفت خود به بیماری خطرناکی تبدیل شود، ممکن است که شما به جراحی سنگینی نیاز داشته باشید و حتی مجبور شوید قسمتی از فک خود را بردارید.
آیا کیست نشانه ای از ایجاد سرطان است؟
افراد کمی هستند که با شنیدن اسم کیست به یاد سرطان و ناراحتی های به دنبال آن نمی افتند؛ اما آیا هر کیستی سرطانیست و ایجاد یک کیست در دهان شما معنای بدی دارد؟خوشبختانه با وجود این که پیدا کردن یک توده در زیر پوست شما نشانه ای هشدار دهنده است، در بیشتر مواقع این توده ها بدون ضرر می باشند. کیست و تومور دو نوع شایع از این توده ها هستند که تشخیص آنها از همدیگر مشکل می باشد چراکه هر دو در نقاط مشابهی از بدن به وجود می آیند اما می توان آنها را به وسیله ای تفاوت های کلیدی ای که دارند از یکدیگر تشخیص داد. کیست کیسه ای کوچک است که توسط مایعی شفاف پر شده است اما تومور به هر ناحیه ی غیر عادی ای گفته می شود که بافت های اضافه سلول های غیر نرمال در آن تجمع پیدا کرده است.پس از تشخیص کیست در استخوان فک بدونگرانی از سرطان یا تومور به درمان آن اقدام کنید.
اولین دیدگاه مردم در مقابله با چنین توده هایی در بدنشان سرطان است چراکه انواع مشخصی از سرطان ها ایجاد کیست می کنند. خبر خوب این است که کیست ها به خودی خود خوش خیم هستند اما تومور ها می توانند هم خوش خیم و هم بد خیم باشند. تومور های خوش خیم در یک جا باقی می مانند اما تومور های بدخیم در تمام بدن پخش شده و ایجاد تومور های جدید می کنند یا به عبارتی سرطانی می شوند.
کیست دندان به معنای آبسه دندان نیست!
در ابتدای این پرسش باید بدانیم که آبسه های دندان دونوع حاد و مزمن تقسیم می شوند که در نوع حاد علامت ها شدید و قابل تشخیص اند ولی در نوع مزمن معمولا بی صدا و علامت پیشرفت می کند با وجود این که گیج کننده به نظر می رسد، امکان تشکیل یک آبسه در کنار و یا حتی داخل یک کیست وجود دارد و به همین خاطر مردم ممکن است این دو را باهم اشتباه بگیرند. حقیقت این است که به دلایلی آبسه و کیست با یکدیگر شباهت و تفاوت هایی دارند.
به طور کلی درد آبسه به صورت ناگهانی شروع می شود و بعد از چند ساعت یا چند روز تا سطح شدیدی پیشرفت می کند به طوری که دردش به قسمت های دیگری از بدن مثل گردن، فک و گوش کشیده می شود پس در چنین شرایطی برای رهایی از این درد باید به دندانپزشک خود مراجعه کرده و درمان عصب کشی انجام دهید.
درمان کیست متفاوت است با درمان ریشه ، مبتلا به آبسه و معمولا نیاز به حراحی برای خارج کردن کامل آن می باشد.

کیست های دندان چه علائمی دارند؟
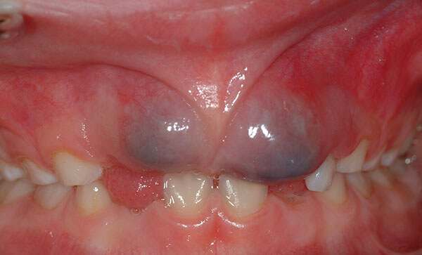
به طور کلی معمولا کیست ها فاقد علامت اند و درصورتی که پیشرفت کردن و بزرگ شدن فشار به بافت های حیاتی بدن مثل عصب ناحیه فک و صورت یا جابجایی دندان ها ویا تورم های فکی و لثه ای می توان آن را مشاهده کرد. اگر این کیست در سطح موکوزی دهان شما باشد، در ظاهر بیشتر شبیه تاول و یا زخم می شود و اگر هنوز عفونی نشده باشد، در بیشتر مواقع نشانه های واضحی وجود ندارد. در نتیجه در صورتی که کیست دندان شما تا حدی متورم شود که قابل دیدن و یا احساس کردن باشد، غیر قابل تشخیص است؛ مگر این که توسط دستگاه اسکن و یا دستگاه اشعه ایکس شناسایی شود.
چرا کیست به وجود می آید؟
معمولا کیست دندان در در انتهای ریشه ی دندانی که مرده است به وجود می آید. این اتفاق می تواند بخاطر دلایل زیر باشد:
- پروسه ی پیچیده و یا درمان عصب کشی ای که شکست خورده است.
- بیماری های ژنتیکی مثل سندرم گرلین
- کیست دندان می تواند در اطراف تاج و ریشه دندان های محفوظی مثل دندان عقل به وجود بیاید.
- اگر ریشه دندانی که عفونی شده و یا ضربه دیده است به درستی درمان نشود احتمال به وجود آمدن کیست دندان هم وجود دارد.
- سابقه تروما یا ضربه به دندان در صورت عدم پیگیری و عدم درمان در زمان مناسب ممکن است منجر به کیست در آینده شود.
- بعضی کیست ها منشا خفیفی دارد و در کنار دندان سالم ممکن است ایجاد شود.
خوب است بدانید که کیست دندان می تواند برای هر کدام از دندان های شما اتفاق بیفتد و دندان های شما یکی یکی مبتلا به کیست دندان شوند. این اتفاق معمولا در افرادی می افتد که دندان هایشان حساس تر بوده و این حساسیت می تواند ریشه در وضعیت دندان و یا بیماری های دیگری که دارند داشته باشد. مثلا ممکن است که کیست دندان شما یکی از عارضه های بیماری خاصی باشد که به آن مبتلا شده اید؛ پس بد نیست که از دندانپزشک خود بخواهید که علت مشکلتان را ریشه یابی کند.
چه کار هایی می توانید برای جلوگیری از کیست دندان انجام دهید؟
بسیار مهم است که برای جلوگیری از بروز کیست دندان در دهانتان بهداشت دهان و دندان های خود را به خوبی رعایت کرده و از آنها مواظبت کنید. شما می توانید برای ارزیابی دندان هایتان و تمیز کردن حرفه ای آنها، هر چند وقت یک بار به دندانپزشکتان مراجعه کنید. همچنین در صورت بروز حفره، تروما و یا مشکلات لثه ای، درمان خود را عقب نینداخته و هر چه سریع تر درمان عصب کشی را شروع کنید، فراموش نکنید دندان عضو مهمی از بدن شماست که ممکن است شما را به دردسر بیاندازد، بهتر است هر از گاهی برای چکاپ شرایط خودتان به دندانپزشک مراجعه کنید و البته برای موارد تخصصی تر مانند این بهتر است با یک متخصص درمان ریشه مشورت کنید.

مرکز تخصصی کامفی برای شما انجام می دهد
برای درمان و تشخیص کیست های دندانی می توانید با مرکز دندانپزشکی تخصصی کامفی تماس حاصل نمائید، دکتر مصطفی میرشاه پناه متخصص درمان ریشه و متبحر در تشخیص و درمان کیستهای دندانی می باشند، شما می توانید برای مشاوره و معاینه درباره مشکلات دندانی تان با شماره های این مرکز تماس بگیرید.

